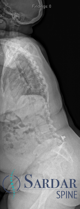
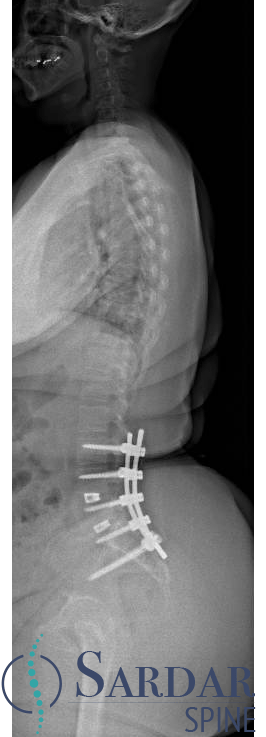
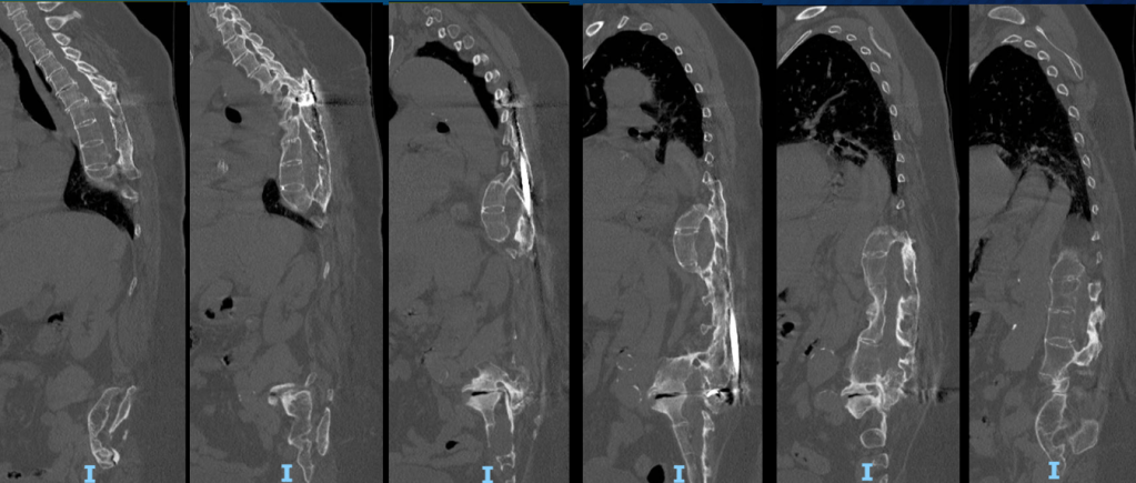
Here’s a glimpse of my recent talk at the Saudi Spine Conference in Riyadh, where I had the privilege to discuss how I leverage cutting-edge technology to deliver precision-driven spine surgeries.
From robotics and AI-driven surgical planning to virtual modeling and custom implants, I’ve embraced a combination of tools that allow me to create tailored surgical plans for my patients—particularly those with scoliosis and spinal deformities.
What sets my approach apart is the seamless integration of these advanced technologies to ensure unparalleled accuracy and better outcomes for each patient.
Grateful for the opportunity to share my methods and to learn from the incredible expertise present at the conference. Together, we’re shaping the future of spine surgery!
#SpineSurgery #InnovationInMedicine #RoboticsInSurgery #SaudiSpineConference #PatientCenteredCare

































